Kostenloser Versand Kostenloser Versand
Icon 30 Tage risikofrei testen 30 Tage risikofrei testen
30 Tage risikofrei testen Wirkung durch Studien belegt
Warenkorb

Ihr Warenkorb ist noch leer

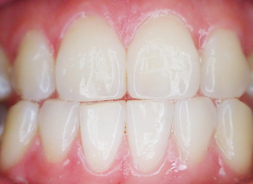
Warum sind gesunde Zähne so wichtig für den Menschen?

Warum sind gesunde Zähne so wichtig für den Menschen?

Die perfekte Balance zwischen gesunden Zähnen und einer ausgewogenen Mundflora sorgen vor allem für eins: Wohlbefinden! Dieses persönliche Wohlbefinden und das damit verbundene Selbstwertgefühl sind genauso davon betroffen, wie die körperliche Gesundheit selbst. Heute wissen wir aus zahlreichen, klinischen Studien, dass entzündetes Zahnfleisch, ein kranker Zahn oder etwa Parodontitis (Parodontose) große Auswirkungen auf die gesamte, körperliche Gesundheit haben können.

Wissenschaftlich erwiesen ist außerdem, dass Erkrankungen Ihrer Zähne oder Ihres Mundes sogar andere Krankheiten wie Diabetes oder Herz-Kreislauf-Erkrankungen negativ begünstigen können. Schädliche Bakterien, wie etwa bei Parodontitis auftreten, finden sich auch an anderen Stellen im Körper wieder, beispielsweise bei Gefäßerkrankungen. Interessant ist dabei auch, dass die erfolgreiche Behandlung einer Parodontitis die Einstellung eines Diabetes erheblich verbessern kann.

Eine ausgewogene Mundhygiene schützt also nicht nur vor Karies, sondern insgesamt vor der Entstehung diverser Erkrankungen. Regelmäßige Kontrolltermine beim Zahnarzt Ihres Vertrauens sind dafür ebenso wichtig, wie die nachhaltige und gründliche Zahnreinigung selbst. Wissenschaftler vertreten zudem die Meinung, dass gründliches Zähneputzen und eine sorgfältige Mundhygiene zusätzlich Schutz vor Virusinfektionen bieten.

Das regelmäßige Putzen unserer Zähne schützt unsere Gesundheit, indem schädliche Plaque verringert wird und eine gesunde Mundflora erhalten bleibt. Mediziner empfehlen, die Zähne und das Zahnfleisch mindestens zweimal täglich zu putzen. UNIQE™ präsentiert sich als ideale Basis für eine gründliche, schonende und nachhaltige Zahnpflege. Noch nie war Zahnpflege so innovativ und einfach!

Veröffentlicht: 14. Apr 2022

Das könnte Sie auch interessieren

Zahnpflege bei Mobilitätseinschränkung – Einfach & effizient

Zahnpflege bei Mobilitätseinschränkung – Einfach & effizient

Zahnpflege ohne Barrieren – für mehr Selbstständigkei...

Mehr erfahren
UNIQE & Zahnarzt – Teamwork für langfristige Gesundheit

UNIQE & Zahnarzt – Teamwork für langfristige Gesundheit

Zahnreinigung – Hand in Hand mit dem Profi Ergänzende Ro...

Mehr erfahren
Zahnfleischschutz‑Guide – Sanfte Pflege mit UNIQE

Zahnfleischschutz‑Guide – Sanfte Pflege mit UNIQE

Zahnfleischschutz beginnt mit der richtigen Technik ...

Mehr erfahren
Behind the Scenes – Von der Idee zum Patent

Behind the Scenes – Von der Idee zum Patent

Timeline Jahr Meilenstein 2019 Skizze des Lamellen-Kon...

Mehr erfahren